Линктер

ЧУКУЛ КАБАР!
7-Ноябрь, 2025-жыл, жума, Бишкек убактысы 01:26

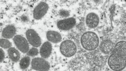
Испанияда маймыл чечегинен эки киши көз жумду


Испанияда маймыл чечегинен эки киши көз жумду
please wait

No media source currently available

0:00 0:01:49 0:00

Европада маймыл чечегинен эки киши көз жумду. 24-июлда Дүйнөлүк саламаттык сактоо уюму ифекциянын жайылышын эл аралык мааниге ээ өзгөчө кырдаал деп жарыялаган.

XS
SM
MD
LG